微影医生 是一款简单易用的医生问诊咨询软件,专为医护人员打造,随时随地享受在线诊断便利,允许医生获取患者的就诊信息,寝室提高工作效率,还通过连接云服务器,医生可以方便地查看患者的检查报告和影像数据,并与患者进行沟通,自由关爱健康生活,能完全满足所有使用需求,还支持医生之间的协作和沟通,为治疗方案制定和病情分析提供更高质量的服务,自由享受优质的医疗咨询体验,有需要的用户欢迎下载软件吧。
微影医生软件功能
1、在线咨询:用户可以随时随地通过文字、语音或视频与专业医生进行交流,快速获得医疗建议。
2、健康评估:提供智能健康评估功能,根据用户的健康数据和生活习惯生成个性化的健康报告。
3、用药指导:用户可以在应用程序中找到用药信息,帮助用户了解药物的作用、使用方法和注意事项。
4、健康记录管理:用户可以方便地记录个人健康数据并随时查看,帮助医生更好地了解自己的健康状况。
微影医生软件亮点
1、权威的医疗团队:拥有由多名执业医生组成的强大团队,提供可靠的医疗咨询。
2、用户隐私保护:本应用非常重视用户隐私。所有数据经过加密处理,确保用户信息安全。
3、智能服务:通过AI技术,微影医生可以更快速地分析用户的健康状况,并提供精确的反馈。
4、社区互动:用户可以在应用程序内参与健康相关主题的讨论,分享健康经验,并向专家提问。
微影医生软件特色
1、每日健康签到:用户可以通过每日健康签到记录自己的健康状况,增强健康管理意识。
2、疾病自我评估:提供多种症状自我评估问卷,让用户评估自己的健康状况。
3、预约挂号:通过微影医生,用户可以方便地预约线下医院的值班医生,减少排队时间。
4、健康知识学习:用户可以浏览丰富的健康文章和视频,学习疾病预防和健康管理。
微影医生app如何注册认证
1、首先在本站下载安装并打开软件,使用手机号注册登录软件;
2、注册之后进入软件,找到首页中的去认证页面点击进入;
3、进入到领证界面,需要选择我们的身份角色,用户要根据自己的实际情况进行选择身份角色;
4、选择好进入之后,用户需要上传本人身份证、医师资格证、医师执业证、工作证、就可以完成了。
更新日志
v1.18.110版本
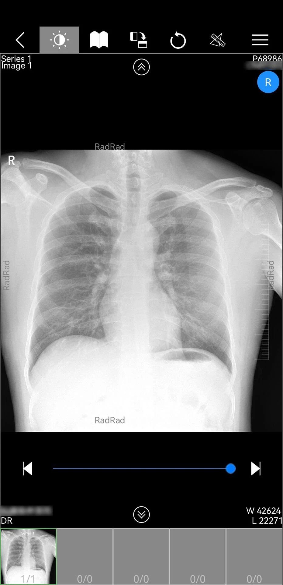
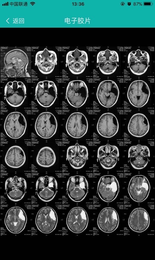
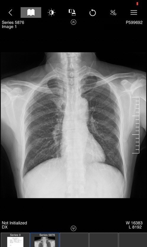
1、增加连接CT三维处理服务;
2、增加更新接口;

